Mindenegyben blog
2020. október 23. (péntek), 08:13

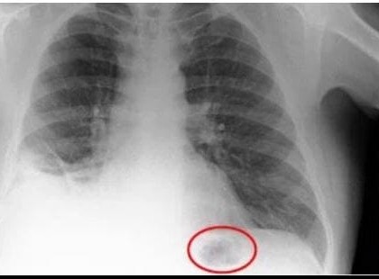
10+1 korai jele annak, hogy rákos vagy

10+1 korai jele annak, hogy rákos vagy

A rákkutatók világszerte, ha sok mindenben nem is, egyben biztosan megegyeznek: a rák gyógyításának legfontosabb...

Mindenegyben blog
2020. október 22. (csütörtök), 22:22

Gyászol az egész magyar egészségügy! Meghalt a súlyos koronavírus-fertőzéssel kezelt főigazgató

Gyászol az egész magyar egészségügy! Meghalt a súlyos koronavírus-fertőzéssel kezelt főigazgató

Szerdán délelőtt jelentette be a tragikus hírt Facebook-oldalán a Szabolcs-Szatmár-Bereg Megyei Kórházak és Egyetemi...

Mindenegyben blog
2020. október 22. (csütörtök), 21:58

Íme a rettentes idegméreg, amitől minden étel finom les! Te is eszed, mert jó íze van! Itt a lista – ezekben az ételekben egytől egyig benne van >>> Nem az ételre, hanem az agyra hat, de az intenzív íz mellé fizikai tüneteket is kap a gyanútlan fogyasztó! Ha ezekkel találkozol, ne vedd meg!

Íme a rettentes idegméreg, amitől minden étel finom les! Te is eszed, mert jó íze van! Itt a lista – ezekben az ételekben egytől egyig benne van >>> Nem az ételre, hanem az agyra hat, de az intenzív íz mellé fizikai tüneteket is kap a gyanútlan fogyasztó! Ha ezekkel találkozol, ne vedd meg!

Amit mindenképp tudnod kell a nátrium glutamátról! Rettenetes idegméreg, amitől mindennek csodás íze leszA kínai...

Mindenegyben blog
2020. október 22. (csütörtök), 21:34

Minden szülőnek!! Ez a betegség a mostani hideg idővel jelentkezik! Ha a felsorolt tünetek valamelyikét észleli gyermekén, azonnal forduljon orvoshoz! Erről mindenkinek tudnia kell!

Minden szülőnek!! Ez a betegség a mostani hideg idővel jelentkezik! Ha a felsorolt tünetek valamelyikét észleli gyermekén, azonnal forduljon orvoshoz! Erről mindenkinek tudnia kell!

Minden szülőnek!! Ez a betegség a mostani hideg idővel jelentkezik! Ha a felsorolt tünetek valamelyikét észleli...

Mindenegyben blog
2020. október 22. (csütörtök), 20:41

NYUGDÍJEMELÉS 2021. január 1-től! EKKORA NYUGDÍJEMELÉSRE számíthatnak a magyar nyugdíjasok 2021. január 1-től? >>>

NYUGDÍJEMELÉS 2021. január 1-től! EKKORA NYUGDÍJEMELÉSRE számíthatnak a magyar nyugdíjasok 2021. január 1-től? >>>

Az államtitkár ismertette, hogy mivel a költségvetés 3 százalékos inflációval számol, jövő januárban egy átlagos...

Mindenegyben blog
2020. október 22. (csütörtök), 20:01

Nyolc ÓRÁN keresztül nem lesz INTERNET szolgáltatás 2020. október 22-én, 26-án, 27-én,28-án-29-én,30-án>>itt a kiadott lista, ezek a települések érintettek az üzemszünetben!

Nyolc ÓRÁN keresztül nem lesz INTERNET szolgáltatás 2020. október 22-én, 26-án, 27-én,28-án-29-én,30-án>>itt a kiadott lista, ezek a települések érintettek az üzemszünetben!

Tájékoztatjuk tisztelt Ügyfeleinket, hogy a Magyar Telekom Nyrt. hálózat korszerűsítést végez az alábbi időpontokban és...

Mindenegyben blog
2020. október 22. (csütörtök), 19:23

ÚJABB járványügyi INTÉZKEDÉS JÖN! ILYEN MÉG NEM VOLT Magyarországon – ma jelentették be >>Emiatt sokan lesznek szomorúak >>>

ÚJABB járványügyi INTÉZKEDÉS JÖN! ILYEN MÉG NEM VOLT Magyarországon – ma jelentették be >>Emiatt sokan lesznek szomorúak >>>

ÚJABB járványügyi INTÉZKEDÉS! ILYEN MÉG NEM VOLT Magyarországon >>Emiatt sokan lesznek szomorúak >>> A járvány második...

Mindenegyben blog
2020. október 22. (csütörtök), 18:08

Eltemették a fiút, akit kovidosnuak hittek, de valójában vakbélgyulladása volt. Az apukája sztárügyvédet fogadott

Eltemették a fiút, akit kovidosnuak hittek, de valójában vakbélgyulladása volt. Az apukája sztárügyvédet fogadott

Eltemették a fiút, akit kovidosnuak hittek, de valójában vakbélgyulladása volt. Az apukája sztárügyvédet...

Mindenegyben blog
2020. október 22. (csütörtök), 13:48

Lélegeztetőgépen Orbán Viktor miniszterelnöki megbízottja!

Lélegeztetőgépen Orbán Viktor miniszterelnöki megbízottja!

Súlyos koronavírus fertőzés miatt kórházban, lélegeztetőgépen van egy miniszterelnöki megbízott - derült ki sok más...

Mindenegyben blog
2020. október 22. (csütörtök), 12:51

Gáspár Evelin az anyaságról: „Erre a rohadó világra minek” – Gáspár Evelin elárulta, miért nem szeretne gyereket

Gáspár Evelin az anyaságról: „Erre a rohadó világra minek” – Gáspár Evelin elárulta, miért nem szeretne gyereket

– Nekem nem lesz gyerekem. Nem akarok anya lenni. Nyolcéves korom óta mondom anyáéknak – tett megdöbbentő kijelentést a...

Hirdetés
Hirdetés